856-845-7676
992 Mantua Pike, Suite 101, Woodbury Heights, NJ 08097
WELCOME
ABOUT US
About Dr. Tartaglione
About Our Practice
SERVICES
Preventative Dentistry
Restorative Dentistry
Periodontal Dentistry
Cosmetic & Whitening
Extractions
Emergencies
COVID-19
FORMS
PHOTOS
TESTIMONIALS
PAYMENT OPTIONS
FAQ
CONTACT US
Photo Gallery
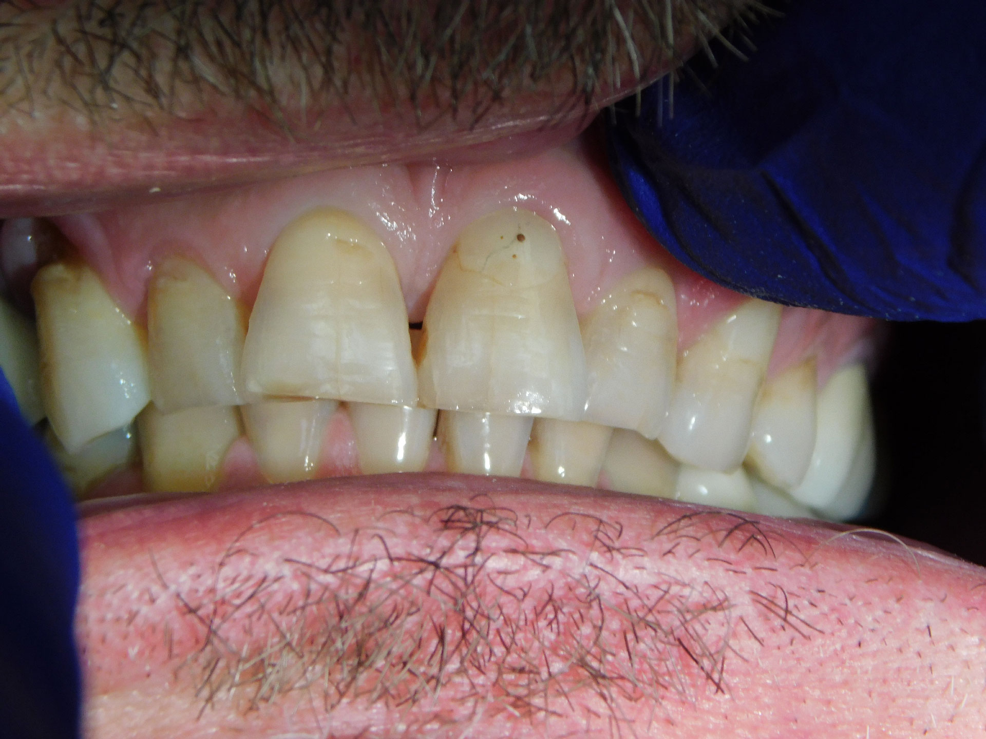
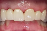
Case Study:
Patient Before & After
Case Study:
Porcelain Laminate Veneers
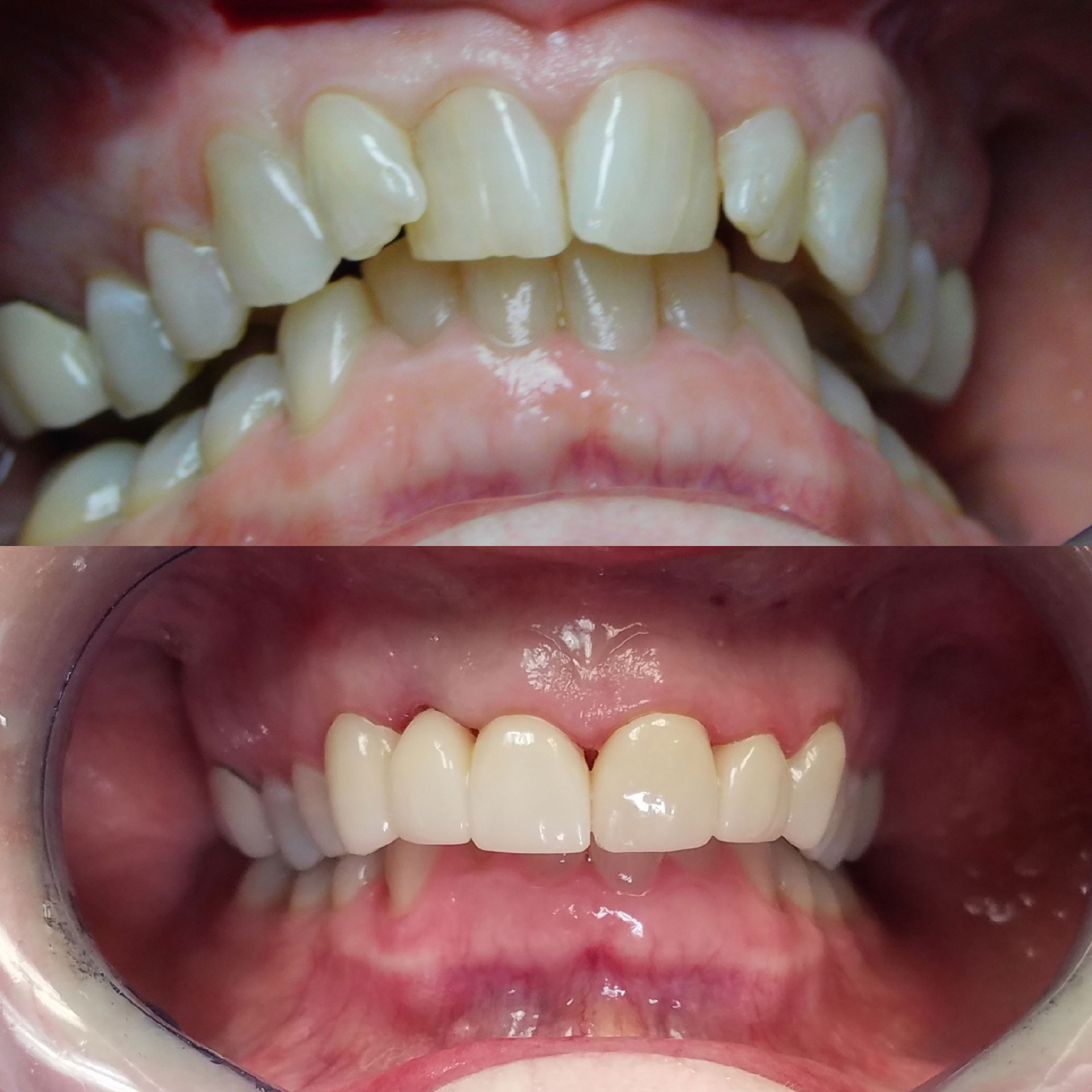
Case Study:
Upper Crowns
Case Study:
Lumineers
Case Study:
Upper Crowns